1. Глорию Рамирес прозвали «токсичной женщиной», когда врачи начали терять сознание рядом с ней

История Глории Рамирес, вошедшей в медицинские хроники под прозвищем «Токсичная леди», считается одной из самых загадочных и трагичных в современной медицине. В феврале 1994 года женщину в тяжёлом состоянии доставили в больницу Калифорнии. Почти сразу медицинский персонал заметил тревожные странности: кожа пациентки имела необычный маслянистый блеск, от её тела исходил резкий фруктово-чесночный запах, а в образцах крови чувствовался запах аммиака и наблюдались странные кристаллические частицы.
Однако самое пугающее началось позже. Медсёстры и врачи, контактировавшие с Рамирес, начали внезапно терять сознание, жаловаться на тошноту, головокружение и проблемы с дыханием. Эти симптомы продолжались даже после смерти пациентки, когда схожие реакции проявились у сотрудников, участвовавших во вскрытии.
Официальной причиной смерти был назван рак шейки матки, диагностированный незадолго до госпитализации. Но объяснение того, почему рядом с женщиной заболевали другие люди, оказалось куда менее однозначным. Первоначальное расследование пришло к выводу, что причиной стало массовое психогенное расстройство — своего рода коллективная реакция на стресс. Однако многие сотрудники больницы не приняли это объяснение.
Позже заместитель директора больницы Пэт Грант выдвинула альтернативную гипотезу. Согласно её версии, Рамирес могла использовать диметилсульфоксид (ДМСО) — вещество, которое в 1960-х годах рекламировалось как универсальное лечебное средство. При контакте с кислородом и определённых условиях оно может превращаться в токсичное соединение, вызывающее именно те симптомы, которые наблюдались у персонала. Семья Глории Рамирес, однако, категорически отрицала использование ею этого вещества. Окончательного ответа эта история не получила до сих пор.
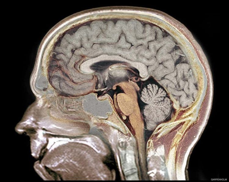
2. Финеас Гейдж выжил после того, как железный прут пронзил ему мозг, но стал другим человеком

Финеас Гейдж — один из самых известных пациентов в истории нейронауки. В середине XIX века он работал на строительстве железной дороги в штате Вермонт, когда произошёл несчастный случай: взрыв отбросил металлический прут, который пробил ему череп и прошёл сквозь мозг.
Удивительно, но Гейдж не только выжил — в день происшествия он был в сознании и даже смог разговаривать с врачами. Однако последствия травмы оказались гораздо глубже, чем физические повреждения. Он потерял зрение на один глаз, а на его лице и голове остались тяжёлые рубцы.
Со временем окружающие начали замечать, что личность Гейджа изменилась до неузнаваемости. Он стал импульсивным, грубым и утратил способность к самоконтролю. Врач, наблюдавший пациента, отмечал, что баланс между разумом и инстинктами будто исчез. Эти изменения были настолько выраженными, что компания отказалась вернуть его на работу.
Финеас Гейдж умер в возрасте 36 лет. Его история стала одним из первых доказательств того, что разные участки мозга отвечают за личность и поведение человека. Череп Гейджа до сих пор хранится в Анатомическом музее Уоррена при Гарвардском университете.
3. Некоторые люди прожили почти обычную жизнь, практически не имея мозга

Мозг принято считать главным органом человеческого тела, без которого невозможно нормальное существование. Однако в медицинской практике зафиксированы случаи, которые ставят это убеждение под сомнение.
Один из самых поразительных примеров — история 44-летнего француза, обратившегося к врачам с жалобами на слабость в ноге. Обследование показало, что большая часть его мозга была замещена жидкостью из-за хронического нарушения оттока спинномозговой жидкости. Фактически у него оставалось около 10% мозговой ткани.
При этом мужчина был женат, воспитывал двоих детей и имел IQ около 75, что не считается тяжёлым интеллектуальным нарушением. Подобные случаи фиксировались и в других странах: например, у женщины из Китая полностью отсутствовал мозжечок, а у другого пациента функционировал практически один лишь ствол мозга. Эти истории до сих пор вызывают удивление и пересмотр представлений о возможностях человеческого организма.
4. Болезнь Моргеллона: люди ощущают что-то под кожей, но врачи спорят, существует ли она

Болезнь Моргеллона — одно из самых спорных состояний в современной медицине. Люди, утверждающие, что страдают этим заболеванием, описывают появление волокон, выходящих из кожных язв, а также ощущение ползания или движения под кожей.
Одни врачи считают, что речь идёт о реальном заболевании, другие уверены, что это психосоматическое расстройство, связанное с бредовыми убеждениями. Третьи предпочитают воздерживаться от выводов до появления убедительных доказательств.
Название болезни появилось в 2001 году, когда Мэри Лейтао пыталась добиться диагноза для своего сына, жаловавшегося на странные ощущения под кожей. После отказа врачей она самостоятельно нашла упоминание похожего состояния в медицинском трактате XVII века и дала ему название «болезнь Моргеллона». Позже Лейтао основала исследовательский фонд, который добился проведения официальных исследований и привлёк внимание научного сообщества к этой проблеме.
5. Причиной мучительной икоты у мужчины оказалась опухоль мозга

Икота кажется безобидным и временным явлением, но для Криса Сэндса она превратилась в настоящую пытку. Его приступы длились месяцами: в особо тяжёлые моменты икота повторялась каждые две секунды на протяжении 14 часов подряд. Он потерял работу, отношения и надежду на нормальную жизнь.
Поначалу врачи не могли найти причину и даже предположили психологическую природу проблемы. Лишь спустя несколько лет, во время съёмок телепередачи, МРТ выявило опухоль на стволе головного мозга. В 2009 году Сэндсу провели операцию, которая спасла ему жизнь. После удаления опухоли икота постепенно прекратилась.
Этот случай — не единственный. Например, Чарльз Осборн из Айовы икал без остановки на протяжении 68 лет, и причина его состояния так и осталась неизвестной.
6. В XIX веке у людей буквально «взрывались» зубы, и причина этого до сих пор неясна

Страх перед стоматологами существовал всегда, но в XIX веке он был особенно оправдан. Тогда зафиксировано несколько случаев, когда у людей неожиданно взрывались зубы — с громким хлопком и резкой болью, которая, по словам очевидцев, внезапно прекращалась.
Одна из пациенток даже утверждала, что услышала отчётливый звук взрыва. Несмотря на то что было задокументировано около шести подобных случаев, в XX веке ничего подобного больше не наблюдалось.
Причина этого явления так и не была установлена. Врачи того времени выдвигали различные гипотезы, многие из которых сегодня признаны несостоятельными. Даже версия о взаимодействии металлических пломб и возникновении электролиза считается маловероятной. Тайна «взрывающихся зубов» остаётся одной из самых странных загадок в истории медицины.
7. В 1518 году Страсбург оказался на грани гибели из-за танцев

Современный Страсбург, расположенный на северо-востоке Франции недалеко от границы с Германией, известен как культурный и политический центр Европы. Здесь находятся международные организации, в том числе Международный институт прав человека, а сам город славится своей архитектурой, историей и богатым культурным наследием. Однако в его прошлом есть эпизод, который и сегодня вызывает недоумение у историков и медиков — так называемая «танцевальная чума 1518 года».
Летом того года жители города стали участниками странного и пугающего явления. Всё началось в июле, когда женщина по имени фрау Троффеа внезапно вышла на улицу и начала танцевать. Она двигалась без музыки, без причины и, что самое тревожное, не могла остановиться. День сменялся ночью, а Троффеа продолжала танцевать, доводя себя до полного изнеможения.
Примерно через неделю к ней начали присоединяться другие горожане. К августу масштабы происходящего стали по-настоящему пугающими: по некоторым оценкам, танцевали уже до 400 человек. Люди двигались часами и днями напролёт, падали от усталости, теряли сознание, а некоторые умирали от сердечных приступов и инсультов.
Местные врачи, не имея иного объяснения, заявили, что причиной является «перегретая кровь», и предложили весьма сомнительное лечение — позволить больным «вытанцевать» недуг. Власти поддержали эту идею: в городе установили сцену, пригласили профессиональных музыкантов и танцоров, чтобы, как им казалось, помочь пострадавшим избавиться от болезни. Однако эффект оказался обратным — число танцующих только росло, а смертельные случаи продолжались.
Лишь в сентябре странное поветрие пошло на спад, и танцы постепенно прекратились. Несмотря на кажущуюся фантастичность, это событие хорошо задокументировано, а похожие вспышки массовых танцевальных маниакальных состояний происходили и в других частях Европы.
Историки до сих пор спорят о причинах этого явления. Одно из распространённых объяснений связано с культом святого Вита, которого считали способным наказывать людей неконтролируемыми танцами. На фоне голода, болезней и социальной напряжённости жители могли стать жертвами массовой психогенной реакции. Другая теория предполагает отравление спорыньёй — плесенью, поражающей зерно и способной вызывать галлюцинации и судороги. Окончательного ответа, впрочем, так и не найдено.
8. Писатель, который однажды проснулся и понял, что больше не умеет читать

Для большинства взрослых чтение — автоматический навык, о котором редко задумываются. Однако для канадского писателя Говарда Энгеля этот процесс в одночасье стал невозможным. Однажды утром он проснулся после инсульта и обнаружил, что больше не может читать ни слова. Буквы и слова оставались для него бессмысленными символами.
Диагноз врачей звучал как «алексия» или «словесная слепота». При этом Энгель сохранил способность писать, говорить и мыслить логически. Более того, он сумел адаптироваться к своему состоянию и в 2008 году выпустил мемуары под названием «Человек, который забыл, как читать».
Сам писатель удивительно спокойно относился к своей утрате. В интервью NPR он отмечал, что осознавал потерю навыка лишь в те моменты, когда ему была нужна конкретная информация. Он не ощущал всей полноты утраченного знания — только отсутствие отдельных фрагментов.
После инсульта Энгель сознательно решил «подружиться» со своей инвалидностью. Помимо автобиографической книги, он продолжал писать художественные произведения и до своей смерти в 2019 году успел опубликовать несколько детективных романов, доказывая, что даже серьёзные неврологические нарушения не всегда ставят крест на творчестве.
9. Сэмюэл Вуд стал медицинской сенсацией после того, как ветряная мельница лишила его руки

Потеря конечности считается одной из самых тяжёлых и травматичных травм, особенно в эпоху, когда антисептики и современные методы лечения ещё не существовали. В прошлые века подобные ранения почти неизбежно приводили к заражению и смерти. Именно поэтому история Сэмюэла Вуда кажется столь невероятной.
Работая на ветряной мельнице на острове Догс в Лондоне, молодой мужчина попал в механизм, который полностью оторвал ему руку. К изумлению окружающих, Вуд не только выжил, но и, по свидетельствам современников, практически не испытывал боли. Он быстро пошёл на поправку и в итоге полностью восстановился.
Случай Вуда вызвал огромный интерес. Он стал местной знаменитостью, а его отрубленную руку даже показывали публике как медицинское чудо. Для врачей того времени его выживание стало редким и необъяснимым примером того, насколько непредсказуемым может быть человеческий организм.
10. В редких случаях переливание крови может вызвать опасную пищевую аллергию

Переливание крови часто является жизненно важной процедурой и нередко спасает пациентов в критическом состоянии. Однако в редких случаях оно может привести к неожиданным и тревожным последствиям. В медицинской практике зафиксированы эпизоды, когда после переливания крови у людей развивалась пищевая аллергия.
Один из таких случаев произошёл с мальчиком из Канады, проходившим лечение от рака. После переливания крови у него неожиданно появилась аллергия на арахис и лосось, которых он ранее спокойно употреблял. Подобные реакции были отмечены и у других пациентов.
Причиной стала передача иммуноглобулина Е — антитела, связанного с аллергическими реакциями. К счастью, в большинстве случаев такие состояния оказываются временными. Через несколько месяцев уровень антител в организме снижается, и аллергия исчезает, как это произошло и с тем самым мальчиком.
11. Джейми «Кэнхед» Китон и его кожа, работающая как присоска

Хотя медицина способна объяснить большинство необычных состояний, случай Джейми Китона из Иллинойса до сих пор остаётся загадкой. Его прозвище — «Кэнхед» — связано с уникальной способностью кожи удерживать предметы, словно присоски на щупальцах осьминога.
По словам Китона, всё началось ещё в детстве, когда ему было около семи лет. Игрушки неожиданно начали прилипать к его телу, но родители списали это на смолу или грязь. Настоящее осознание необычности способности пришло много лет спустя, во время бейсбольного матча. Потянувшись за мячом, он заметил, что банка с напитком намертво прилипла к его затылку, и снять её удалось лишь спустя несколько минут.
Китон обращался к врачам и проходил многочисленные обследования. Единственное объяснение, которое удалось дать специалистам, заключается в том, что его кожа поглощает больше кислорода, чем у обычных людей. Тем не менее точная причина этого феномена неизвестна. При этом Джейми остаётся совершенно здоровым, сумел превратить свою особенность в бизнес и даже познакомился со многими знаменитостями.
12. Мэри Тофт убедила врачей XVIII века, что рожает кроликов

История Мэри Тофт — один из самых скандальных медицинских обманов XVIII века. Бедная женщина из города Годалминг, расположенного к юго-западу от Лондона, заявила, что после преждевременных родов начала рожать кроликов. Акушерка Джон Ховард действительно представила общественности останки животных, якобы появившихся на свет естественным путём.
В эпоху, когда Европа была одержима «человеческими чудовищами» и анатомическими аномалиями, история Тофт мгновенно стала сенсацией. Её привезли в Лондон, где осматривали придворные врачи, включая анатома Натаниэля Сент-Андре, служившего королю Георгу I. Некоторые медики сомневались, но убедительных доказательств обмана долгое время не находилось.
Разгадка наступила после признания привратника, который сообщил, что Мэри пыталась подкупить его, чтобы тайно пронести части кроликов. Под давлением допросов Тофт призналась, что мистификация была полностью сфабрикована, а останки животных она вводила в себя самостоятельно.
История Мэри Тофт превратила её в объект насмешек и презрения, а также серьёзно подорвала репутацию нескольких уважаемых врачей. Этот случай стал наглядным примером того, насколько уязвимой может быть наука без критического мышления и тщательной проверки фактов.
Тут вы найдёте 12 пугающих древних медицинских приборов, которыми людей действительно лечили.
