Рентген кисти с запущенным ревматоидным артритом

Рыбья кожа используется для лечения пострадавших от ожогов

Рыбья кожа, обработанная особым образом, может применяться как перевязочный материал для пациентов с ожогами, особенно в тех случаях, когда использование традиционных материалов затруднено или нежелательно.
Проявления склеродермии кистей рук

Склеродермия кистей рук — это проявление системной склеродермии, хронического заболевания, характеризующегося уплотнением и фиброзом кожи, а также поражением кровеносных сосудов и внутренних органов.
Рост волосяных фолликулов в глазу из-за лимбального дермоида

«Как глаз моего дяди зажил после операции по пересадке роговицы»

В некоторых культурах, особенно в Африке, Южной Америке и Индии, муравьев, в частности муравьев-солдат или листорезов, использовали для зашивания ран. Они служили как естественные швы

Их мощные челюсти использовались для скрепления краев раны. После того, как муравей кусал, его тело отрывали, оставляя голову, которая служила зажимом.
Джексон Буэлл (27 августа 2014 — 1 апреля 2020) — американский ребёнок, получивший известность из-за крайне редкой врождённой аномалии развития головного мозга — анэнцефалии в сочетании с микрогидроцефалией

Анэнцефалия — тяжёлый внутриутробный порок развития, при котором происходит полное или частичное отсутствие больших полушарий головного мозга, а также недоразвитие мягких тканей и костей свода черепа. В большинстве случаев дети с данным диагнозом погибают в первые часы или дни после рождения. Микрогидроцефалия характеризуется патологическим увеличением желудочков мозга на фоне аномально малого объёма черепа.
Рентгеновский снимок показывает, почему не стоит класть ноги на приборную панель автомобиля

Удар молнии может оставить след, похожий на татуировку, или шрам, известный как фигура Лихтенберга

«Камень из почки, который вышел у меня некоторое время назад»

«Вот как выглядело мое колено после того, как я попытался прыгнуть и услышал хлопок»

«Моё увеличенное сердце в 15 лет до операций»

«У меня почти нет цвета глаз»

«На моей ладони растут волосы после пересадки кожи, которую мне сделали несколько лет назад»

«Синдром Рейно на моей руке сегодняшним утром»

«Кожа слезла с моего языка»

«Я принимаю лекарства, из-за которых моя моча становится зеленой»

«Мы называем это его запасным мозгом»

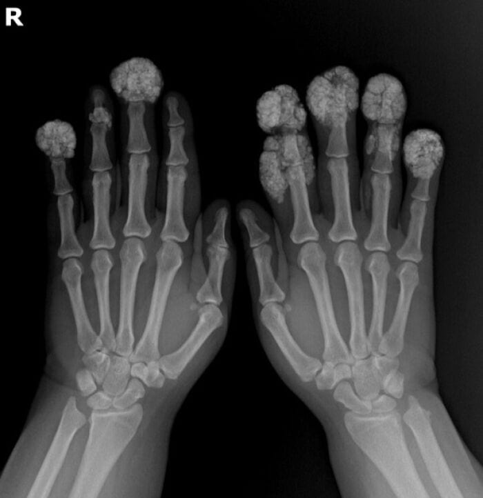
Наследственная костная масса, которая будет расти, пока её не удалят. У его матери то же самое.
Здесь вас ждут 16 пугающих снимков прошлого, которые тревожат даже спустя десятилетия.
