Вильгельм Конрад Рёнтген (в русской традиции Рентген) — является именно тем человеком, который открыл рентгеновское излучение. Открытие немецкого учёного очень сильно повлияло на развитие науки, и именно благодаря ему появились новые направления науки и техники — рентгенология, рентгенодиагностика и другие. Сегодня рентгеновские лучи необходимы в различных областях, и не только в медицине. Некоторые люди даже используют их для обнаружения подделок произведений искусства! Чтобы показать вам, насколько глубоко рентген вошёл в нашу жизнь, мы собрали одни из самых интересных рентгеновских снимков, которые смогли найти в интернете.
"Мой сосед по комнате — радиолог. И сегодня он делал рентгеновские снимки цветов"

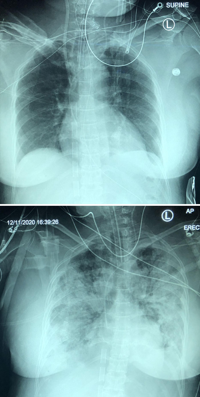
5-дневное прогрессирование пневмонии, вызванной коронавирусом

Рентген беременной собаки

Рентген птицы киви с ее яйцом

Рентгеновский снимок ската

Рентген акулы-молота

На рентгеновском снимке египетского саркофага внутри был обнаружен мумифицированный кот

"У меня редкое заболевание. Сегодня я получил свой первый стоматологический рентген, и, оказалось, что у меня много лишних зубов"

Рентгеновские снимки портрета молодого Карла II показали, что художник нарисовал более раннюю картину, когда испанский король был на несколько лет моложе

"Рентген зубов детей в возрасте от 6 до 12 лет по-прежнему вызывает у меня удивление, даже после того, как я проработал стоматологом более 10 лет"

"Моя жена балерина, и это ее рентгеновский снимок в пуанте"

Так выглядит прогрессирующий ревматоидный артрит

А так выглядит рентгеновский снимок живота беременной кошки

Фотографии до и после исправления сильнейшего сколиоза

"У этой змеи опухоль почки и я решил поделиться с вами её рентгеновским снимком. Пожелайте ей успешной операции!"

Как выглядит рентгеновский снимок женской стопы в туфлях на шпильке

Собака повернулась в нужный момент и на рентгеновском снимке получился Анубис

Ну, это отстой...

Рентген морского конька

Конкурс «Мисс правильная осанка» 1956 года

На съезде костоправов в Чикаго победительницы конкурса были выбраны за красоту их рентгеновских снимков и правильную осанку.
Посмотрите, как 19 раз, когда плесень расцветала настолько красиво, что это не «Ой, фу», а почти произведения искусства.
