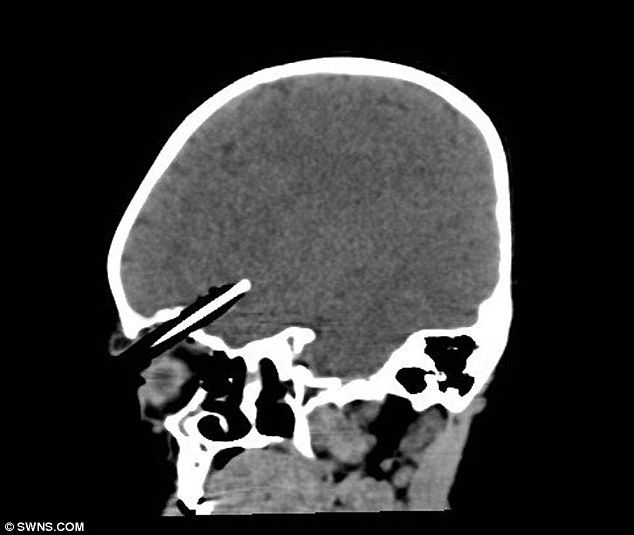
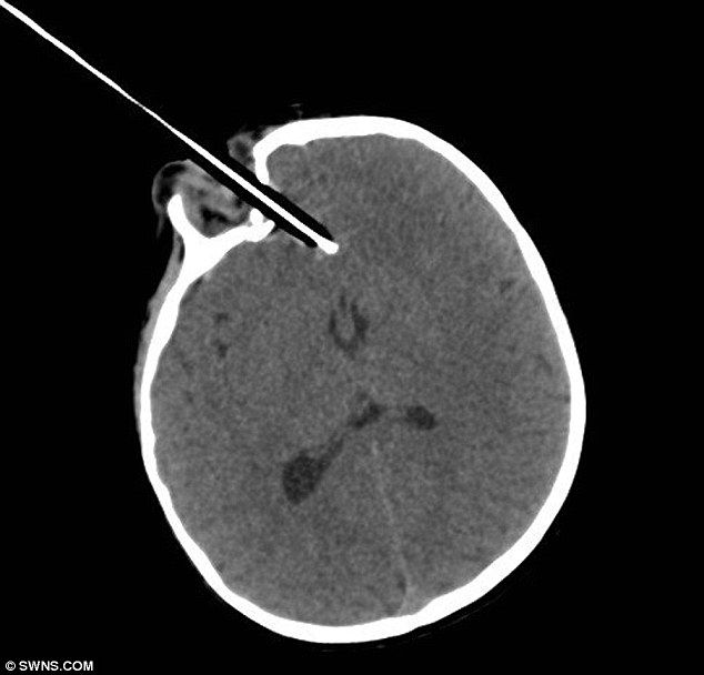
Двухлетняя девочка Рен Бовелл несла в руках карандаш и случайно упала с лестницы возле дома. Карандаш заострённой частью вонзился ей в глаз, девочку сразу доставили в больницу где четыре часа врачи боролись за её жизнь удаляя карандаш из черепа.

По словам врача девочке очень повезло,карандаш остановился в миллиметре от мозга и нечего не задел. Сейчас жизни девочке ничего не угрожает.




Живая и счастливая)
