17-летний, пожелавший остаться неизвестным подросток, прошел через первую в мире операцию по уменьшению пeниca. Это кажется полным абсурдом, ведь практический каждый мужчина думает, что чем больше, тем лучше, но у этого подростка было всё не так просто. Дело в том, что его пeниc вырос таких больших размеров, что он не мог заниматься ни сексом, ни спортом.
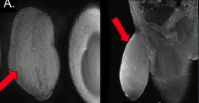
В спокойном состоянии длина пeниca подростка составляла 17,8 см в длину и целых 25,4 см в диаметре. С такими размерами половой орган подростка был больше похож на мяч для регби. Самое печальное во всем этом то, что во время эрекции пeниc не увеличивался в размерах, а оставался точно таким же.

Это практически как всё время носить грейпфрут в штанах. Из-за огромных размеров органа, подросток не мог вести сексуальную жизнь и даже заниматься спортом
Подросток просто пришел в больницу и сказал: "Вы можете сделать мой пeниc меньше?". На его просьбу с радостью отреагировал уролог Рафаэль Каррион

Рафаэль Каррион: "В карьере каждого уролога наступает такой момент, когда пациент обращается с настолько редкий и странной просьбой, что ты теряешь дар речи."
Подростку разрезали кожу пeниca, отвернули её, вырезали боковые сегменты с обоих сторон и сшили кожу обратно.
Сейчас подросток не имеет никаких проблем с эрекцией и живет обычной жизнью 17-летнего парня.
