Все в детстве, а некоторые до сих пор, бояться ходить к стоматологу, и в этом нет ничего удивительного, но героиня нашей статьи вывела этот страх на новый уровень. 48-летняя Энджи Барлоу (Angie Barlow) из города Алтринчем, Великобритания, 10 лет не посещала стоматолога из-за страха. Все выпавшие и отколотые зубы она просто приклеивала суперклеем обратно на место, предварительно склеивая их с соседними, для большей устойчивости. Если вы впечатлительный человек, то вам лучше пройти мимо, но если вы не боитесь взглянуть страху в рот, то..
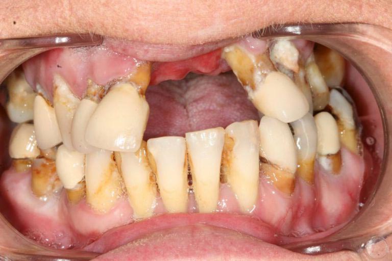
Так стали выглядеть зубы Энджи Барлоу после 10 лет суперклеевого кошмара
"Я просто наносила клей на верхушку выпавшего зуба и держала его на месте, пока клей не застынет, также я наносила клей между зубами, поэтому между ними нет расстояния", - сказала женщина
Токсичные химические вещества в составе клея в конечном итоге заставили ее потерять 90% кости, поддерживающей зубы на верхней челюсти. Стоматологам пришлось удалить большую часть её зубов, установив на их место титановые штифты, на которые всю очередь крепятся зубные импланты
"Я всегда боялась стоматологов, потому что моя мама умерла в 34 от рака горла. Она пошла к врачу, чтобы удалить зуб, и тогда у неё обнаружили рак", - сказала Энджи
Энджи потратила все свои сбережения, чтобы установить себе зубные импланты.


